Fotografía dental clínica: cómo documentar correctamente los casos en odontología

La fotografía dental como parte esencial de la experiencia clínica

La fotografía dental clínica se ha convertido en una herramienta imprescindible en la práctica diaria de la odontología moderna. Hoy en día, no solo permite documentar los tratamientos, sino que también mejora el diagnóstico, la planificación y la comunicación entre profesionales.

En Vericat Instituto de Formación trabajamos con un enfoque basado en el rigor clínico y la precisión, por lo que la documentación fotográfica forma parte fundamental del proceso de tratamiento.

La imagen clínica permite:

  • Analizar con precisión el estado inicial del paciente
  • Planificar tratamientos con mayor seguridad
  • Documentar cada fase del procedimiento
  • Facilitar la comunicación con el laboratorio protésico
  • Explicar mejor el tratamiento al paciente
  • Disponer de un respaldo documental y legal

Por todo ello, la fotografía odontológica se ha consolidado como una herramienta diagnóstica, comunicativa y científica, imprescindible para conseguir resultados predecibles y de alta calidad.


¿Por qué es importante la fotografía dental en odontología?

La fotografía dental no solo sirve para mostrar resultados. Su verdadero valor está en que permite analizar los casos con precisión clínica.

Entre sus principales aplicaciones destacan:

Diagnóstico clínico

Las imágenes permiten estudiar detalles que muchas veces pasan desapercibidos en la exploración directa.

Planificación de tratamientos

En implantología, estética dental o rehabilitación oral, la fotografía permite planificar con mayor exactitud cada procedimiento.

Documentación del tratamiento

Registrar cada fase del tratamiento permite evaluar resultados y realizar seguimiento clínico.

Comunicación con el laboratorio

Las fotografías ayudan al laboratorio a comprender mejor el caso, especialmente en restauraciones estéticas o prótesis.

Comunicación con el paciente

Las imágenes ayudan a explicar el diagnóstico y los resultados esperados, aumentando la confianza del paciente.

Protección legal

La documentación fotográfica constituye también un registro clínico importante desde el punto de vista legal.


Cómo hacer fotografías dentales de calidad

Para obtener fotografías clínicas precisas y reproducibles, lo primero es contar con un equipo adecuado de fotografía dental y conocer correctamente su funcionamiento.

La fotografía odontológica utiliza parámetros muy estandarizados, lo que permite que, una vez interiorizados, el control de la imagen sea sencillo y consistente.

Antes de empezar, es fundamental comprender los tres parámetros básicos de la fotografía, conocidos como el triángulo de exposición.


El triángulo de exposición en fotografía dental

Diafragma

El diafragma regula la cantidad de luz que entra en la cámara a través del objetivo.

Se expresa mediante valores como:

f/1.4 – f/2 – f/8 – f/16 – f/22

Además de controlar la luz, el diafragma determina la profundidad de campo, es decir, la parte de la imagen que aparece enfocada.

  • Diafragma abierto (f bajo): poca profundidad de campo
  • Diafragma cerrado (f alto): mayor profundidad de campo

En fotografía dental necesitamos la máxima nitidez posible, por lo que trabajamos con diafragmas cerrados.

Configuración recomendada:

Tip: f/22

Velocidad de obturación

La velocidad de obturación indica el tiempo que el obturador permanece abierto para permitir el paso de la luz.

Se mide en fracciones de segundo.

Una velocidad rápida permite congelar el movimiento, evitando imágenes movidas.

En fotografía clínica dental utilizamos velocidades altas para obtener imágenes totalmente estáticas.

Configuración recomendada:

Tip: 1/200

ISO

El ISO determina la sensibilidad del sensor de la cámara a la luz.

  • ISO alto → más sensibilidad, pero más ruido o grano
  • ISO bajo → mayor nitidez y calidad de imagen

En fotografía dental se recomienda utilizar ISO bajo para garantizar la máxima calidad.

Configuración recomendada:

Tip: ISO 200


Configuración estándar para fotografía dental

Para obtener una imagen nítida, enfocada y correctamente iluminada, una configuración habitual en fotografía odontológica sería:

ParámetroAjuste recomendado
Diafragmaf/22
Velocidad de obturación1/200
ISO200

Las fotografías clínicas se realizan siempre con flash, lo que permite mantener una iluminación constante y controlada.

Los flashes utilizados en odontología suelen ser externos y pueden ser de diferentes tipos, como veremos más adelante.


Tipos de fotografías dentales

Una de las preguntas más habituales es: ¿qué fotografías debemos realizar en un caso clínico?

En odontología se suelen realizar dos grandes tipos de fotografías:

Fotografías extraorales

Incluyen imágenes del rostro y de la sonrisa del paciente.

Tipos principales:

  • Retrato facial
  • Fotografía de sonrisa
  • Fotografía de boca

Estas imágenes ayudan a analizar la armonía facial y estética dental.


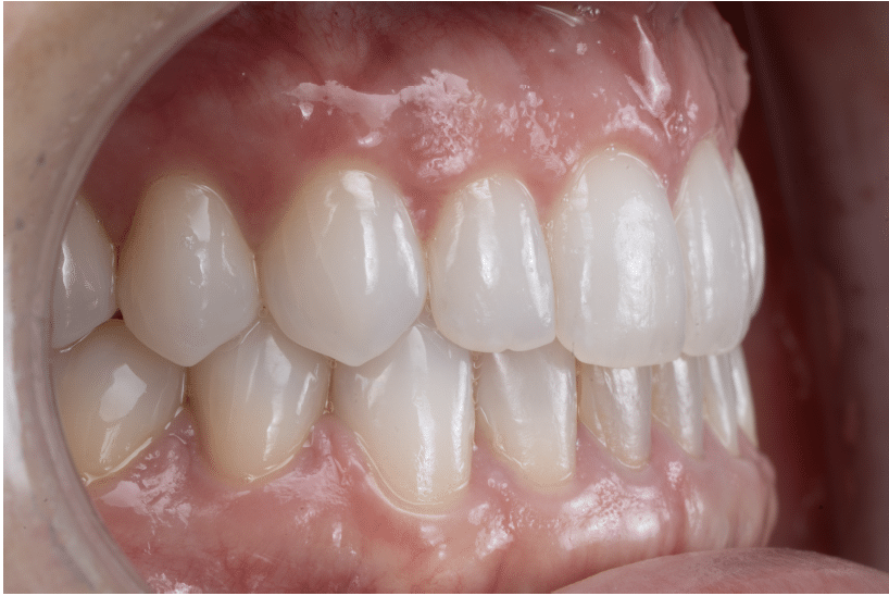
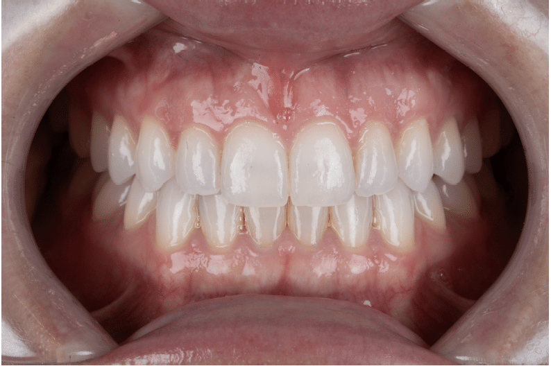
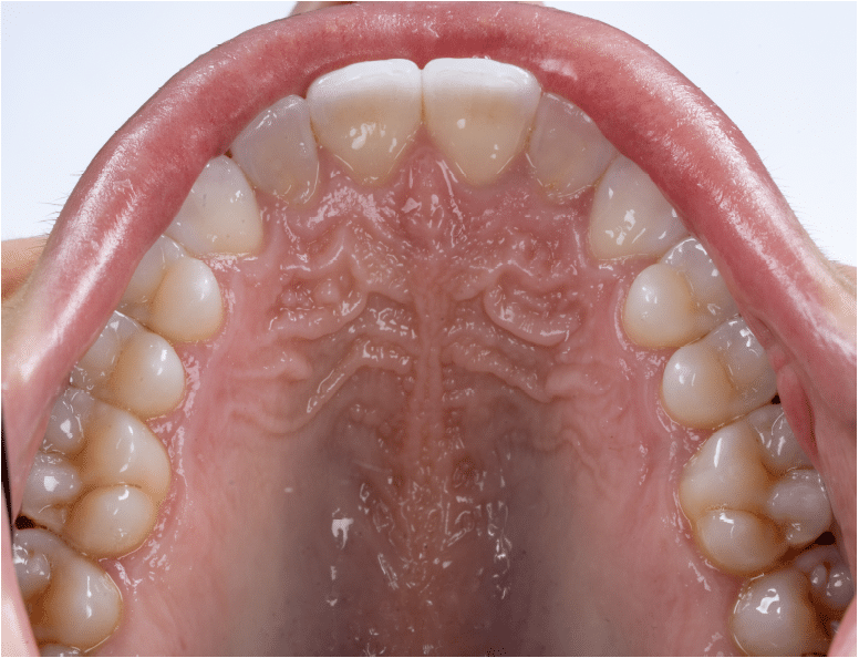
Fotografías intraorales

Se centran en la cavidad oral y permiten analizar en detalle las estructuras dentales.

Tipos principales:

  • Fotografía intraoral frontal
  • Fotografía intraoral lateral
  • Fotografía oclusal superior
  • Fotografía oclusal inferior

Estas imágenes son fundamentales en implantología, ortodoncia, estética dental y rehabilitación oral.


Instrumental necesario para fotografía intraoral

Para realizar fotografías intraorales correctamente se utilizan algunos instrumentos específicos:

  • Espejos intraorales
  • Contrastadores negros
  • Retractores labiales

Estos elementos permiten mejorar la visibilidad, controlar los reflejos y obtener imágenes más limpias y profesionales.


Equipo recomendado para fotografía dental

Para conseguir imágenes clínicas de alta calidad, el kit básico de fotografía dental suele incluir los siguientes elementos.

Cámara

Se recomienda utilizar:

  • Cámara Réflex o Mirrorless
  • Sensor Full Frame

Esto permite obtener imágenes con mayor calidad y definición.


Fotografías extraorales

Para retratos faciales o fotografías de sonrisa se recomienda:

  • Objetivo 24-70 mm
  • Dos flashes externos
  • Softbox a cada lado del paciente

Este sistema proporciona una iluminación uniforme.


Fotografías intraorales

Para fotografía dental intraoral se utiliza:

  • Objetivo macro (60-100 mm)
  • Flash twin o flash anular

Estos flashes permiten iluminar correctamente el interior de la boca y evitar sombras.


La fotografía clínica como parte de la excelencia odontológica

Aplicando estas directrices, es posible mantener una calidad constante en la documentación clínica, generando un banco de imágenes homogéneo en cuanto a iluminación, encuadre y nitidez.

El dominio de la fotografía dental permite al profesional:

  • Documentar correctamente los casos
  • Analizar los resultados clínicos
  • Mejorar la comunicación con pacientes y laboratorios
  • Elevar el nivel profesional

Hoy en día, la fotografía odontológica ya no es un complemento, sino una herramienta imprescindible para alcanzar la excelencia clínica.

En programas avanzados de formación en implantología dental, como los que se desarrollan en Vericat Instituto de Formación, el manejo de la documentación clínica forma parte fundamental del aprendizaje del profesional.

También te puede interesar

Fotografía dental clínica: cómo documentar correctamente los casos en odontología

Por qué se forman bolsas inflamatorias alrededor de los implantes dentales

Por qué se forman bolsas inflamatorias alrededor de los implantes dentales

Injertos de tejido conectivo

Injertos de tejido conectivo: técnicas y beneficios en cirugía mucogingival

Abrir chat
1
Hola 👋
¿En qué podemos ayudarte?